

1Natural Medicine Research Center, Korea Research Institute of Bioscience and Biotechnology, Chungbuk 28116, Republic of Korea
2College of Life Sciences and Biotechnology, Korea University, Seoul 02841, Republic of Korea
3College of Pharmacy, Chungbuk National University, Chungbuk 28160, Republic of Korea
4Division of Practical Research, Honam National Institute of Biologucal Resources (HNIBR), Jeollanam-do 58762, Republic of Korea
5ELEO Inc, Cheongju-si 28160, Republic of Korea
6Department of Biotechnology and Bioinformatics, Korea university, Sejong 30019, Republic of Korea
7Advanced Research Center for Island Wildlife Biomaterials, Honam National Institute of Biological Resources (HNIBR), Jeollanam-do 58762, Republic of Korea
© The Microbiological Society of Korea
This is an Open Access article distributed under the terms of the Creative Commons Attribution Non-Commercial License (http://creativecommons.org/licenses/by-nc/4.0) which permits unrestricted non-commercial use, distribution, and reproduction in any medium, provided the original work is properly cited.
Acknowledgments
This work was supported by the National Research Foundation of Korea (NRF) grant funded by the Korea government (MSIT) (RS-2025-00523419). Also, this study was supported by the Bio & Medical Technology Development Program of the National Research Foundation (NRF), funded by the Korean government (2020R1A2C2101228). Additional support was provided by the Korea Research Institute of Bioscience and Biotechnology (KRIBB) Research Initiative Program (KGM1202511).
Author Contributions
SHK and JWP carried out all experiments and prepared the manuscript. DYS assisted with the in vitro experiments. KSA and SBH prepared and reviewed the manuscript. All authors read and approved the final manuscript.
Conflict of Interest
The authors declare no conflicts of interest.
| Strains | Description | Antibiotics | Source |
|---|---|---|---|
| P. aeruginosa K (PAK) | Clinical isolate of Wild-type invasive strain | - | From Dr. Ha (Korea University) |
| PAK exsA::Ω/pHW0029 (p34; negative control) | PAK with chromosonal disruption of the exsA loci with Ω cassette | Sp200, Sm200, Gm200, Cb150 | From Dr. Ha |
| PAK exoST::Ω/pHW0225 (p137) | PAK ExoST double mutated exoS-FLAG | Sp200, Gm200, Cb150 | From Dr. Ha |
| PAK ΔST | Double effector mutant; functional needle and translocon apparatus without known effectors | - | From Dr. Ha |
| PAK ΔST/pUCP18 (PAK ExoS) | PAK ΔST with exoS of pUCP18 | Cb150 | From Dr. Park |
| P. aeruginosa primers | Sense (5’→3’) | Anti-sense (5’→3’) |
|---|---|---|
| 16S | CAA AAC TAC TGA GCT AGA GTA CG | GCC ACT GGT GTT CCT TCC TA |
| ExoS | CAG GCT GAA CAG GTA GTG AA | TTC AGG GAG GTG GAG AGA TA |
| popB | GCG CTT CGA CGC TGT TGT | TTC TTC CGA CTC CCT GAT CTT CT |
| popD | GAA GAC CCT GCA GAA GAA CA | ACC TTG CCG ACG ATC TTG |
| pcrV | GAT CGA CGC TGG CGG TAT | TCA TCG CTG AGG CCC TTG |
| ExsE | TGC TGT TCG ACG AAC AGG TG | ATC GTT TGC ATC GCT CCC TG |
| ExsA | AAG GAG CCA AAT CTC TTG | CTT GTT TAC CCT GTA TTC G |
| Human primers | ||
| GAPDH | GCA GGG GGG AGC CAA AAG GG | TGC CAG CCC CAG CGT CAA AG |
| IL-1β | GG ACA AGC TGA GGA AGA TGC | TC TTT CAA CAC GCA GGA CAG |
| IL-6 | GAC AGC CAC TCA CCT CTT CA | AGT GCC TCT TTG CTG CTT TC |
| IL-8 | ATG ACT TCC AAG CTG GTG GCT | TTA TGA ATT CTC AGC CCT CTT CAA AAA |
| IL-18 | GCT TTG GCC TTG GAA GAT GA | GAA GAT TCA AAT TGC ATC TTA T |
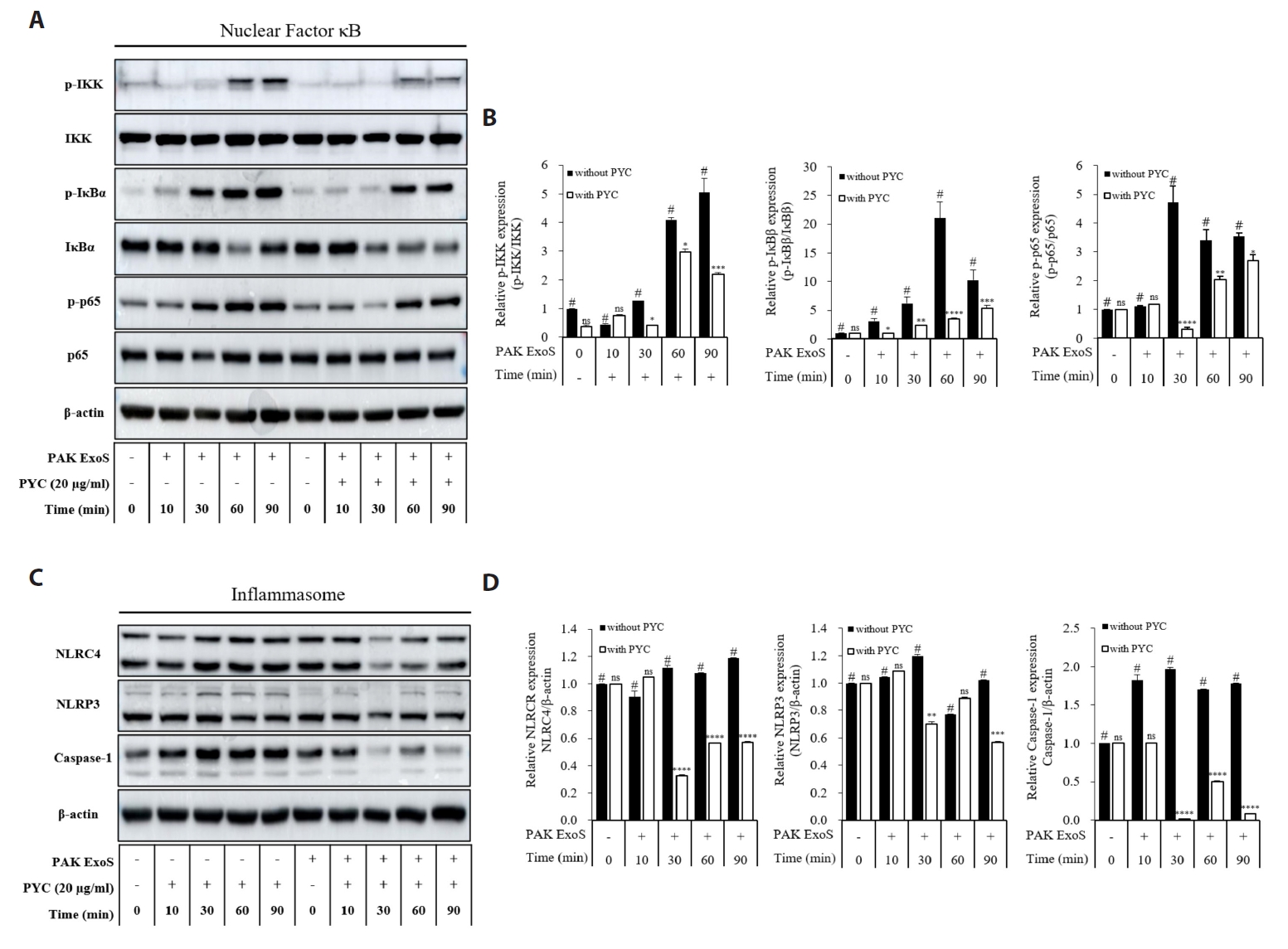
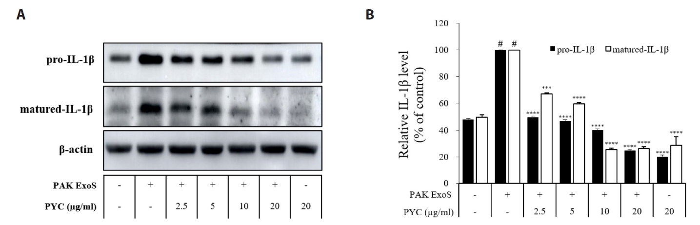
Summary of